Дигитайзер DX-G объединяет в себе высочайшее качество изображения и рабочий процесс, основанный на кассетном буфере «drop-and-go», а также позволяет снизить дозу облучения пациента. Он предоставляет беспрецедентную возможность комбинировать стандартные люминофорные и новейшие пластины на игольчатых кристаллах.
Дигитайзер DX-G, устройство компьютерной радиографии нового поколения для отделений общей рентгенографии, объединяет высочайшее качество изображения и удобство поддержки стандартных люминофорных экранов и абсолютно нового типа пластин на основе игольчатых кристаллов бромида цезия. Эксклюзивная технология распознавания DirectriX обеспечивает возможность значительного снижения дозы облучения пациента (до 50%). Благодаря удобному буферу «drop-and-go», способному одновременно обрабатывать пять кассет разных форматов, рабочий процесс является более эффективным.DX-G, имеющий широкий спектр применений, может быть использован как централизованный и децентрализованный дигитайзер в отделении рентгенографии. В централизованной среде он может обслуживать несколько кабинетов. В то же время, благодаря минимальной занимаемой площади, он может быть установлен в любом доступном месте.
Ультрасовременное качество изображения с возможностью снижения дозы излучения
Поддерживая как стандартные люминофорные экраны, так и пластины на основе игольчатых кристаллов, DX-G объединяет в себе абсолютное удобство с высочайшим качеством изображения, при этом максимально окупая финансовые вложения рентгенографического отделения. Со стандартными люминофорными экранами DX-G обеспечивает превосходное качество изображения. Однако при использовании пластин с игольчатыми кристаллами DirectriX, дигитайзер DX-G обеспечивает наивысшее качество изображения с гораздо более высокой пороговой квантовой эффективностью (DQE). Это ультрасовременное качество изображения дает доказанную возможность для снижения дозы облучения пациента до 50%.

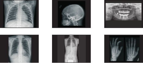
Широкий спектр применений
- Общая рентгенография
- Ортопедия – рентгенография конечностей
- Стоматология
- Педиатрия и неонатология
- Получение составных рентгеновских изображений нижних конечностей и всего позвоночника
Максимальная производительность и непрерывный рабочий процесс
Буфер «drop-and-go» и быстрый предварительный просмотр исключают периоды ожидания и обеспечивают непрерывный рабочий процесс в отделении. Пятикассетный буфер «drop-and-go» может работать с сочетанием разных форматов стандартных фосфорных пластин и игольчатых детекторов. Автоматизированная обработка кассет делает дигитайзер DX-G удобным и высокопроизводительным. В качестве централизованного дигитайзера в рентгенографическом отделении DX-G может оцифровать несколько рентгеновских кабинетов. Благодаря минимальной занимаемой площади он может быть размещен в небольших помещениях, в том числе в рентгеновском кабинете, или даже в узком коридоре.Правильный выбор
Чтобы различные кассеты нельзя было перепутать, кассеты на игольчатых кристаллах делают серого цвета, а кассеты со стандартными люминофорными экранами – оранжевого. Поэтому пользователь не ошибется в выборе нужной кассеты. Каждая пластина имеет встроенный чип, в котором хранятся данные, введенные при идентификации посредством бесконтактной передачи. Таким образом, идентификационные данные и изображения связаны между собой с самого начала во всей системе цифровой обработки изображений.В также можете приобрести кассеты отдельно.
| Игольчатый детектор | Размер | Пространственное разрешение | Размер матрицы в пикселах |
|---|---|---|---|
| CR HD5.0 General SR | 35 x 43 | 6,7 пиксел/мм | 2272 x 2800 |
| CR HD5.0 General |
35 x 43 24 x 30 18 x 24 15 x 30 |
10 пиксел/мм 10 пиксел/мм 10 пиксел/мм 10 пиксел/мм |
3408 x 4200 2256 x 2880 1656 x 2280 1344 x 2880 |
| CR HD5.0 FLFS | 35 x 43 | 10 пиксел/мм | 3408 x 4368 |
| Стандартный люминофорный экран | Размер | Пространственное разрешение | Размер матрицы в пикселах |
| CR MD4.0R General SR |
35 x 43 35 x 35 |
6,7 пиксел/мм 6,7 пиксел/мм |
2320 x 2832 2320 x 2320 |
| CR MD4.0R General |
35 x 43 35 x 35 24 x 30 18 x 24 15 x 30 |
10 пиксел/мм 10 пиксел/мм 10 пиксел/мм 10 пиксел/мм 10 пиксел/мм |
3480 x 4248 3480 x 3480 2328 x 2928 1728 x 2328 1440 x 2928 |
| CR MD4.0R FLFS SR | 35 x 43 | 6,7 пиксел/мм | 2320 x 2928 |
| Безопасность | |||
| Регион | Безопасность | EML | Лазер |
| Европа | IEC 60601-1:1988 +A1:1991: + A2:1995 |
EN 60601-1-2:2007 IECEN 300 330 2 V1.1.1:2001 EN 301 489 V1.3.1:2001 |
60825-1:1993 +A1:1997 + A2:2001 |
| США | UL60601-1:2003 | FCC часть 15 | CFR части 1040.10 и 1040.11 |
| Канада | CSA C 22.2 No.601.1 :1990 + S1:1994 + A2:1998 | CSA C 22.2 No. 601.1.2 | CSA-E60825-1-03 |
Технические характеристики
Кассетный буфер «drop-and-go»
Входной буфер для 5 кассет любого формата и выходной буфер для 5 кассет любого форматаПропускная способность
35 x 43 см (14 x 17 дюймов) - 83 пластины в часДисплей - индикатор состояния и ошибок
LCD сенсорный дисплей LED индикатор состоянияКонтрастная разрешающая способность
Вывод на процессор: 16 бит/пикселГабариты и вес
Площадь основания: (Ш x Г x В): 66 x 51 x 123 см (26 x 20 x 48.4 дюймов) Вместе с выходным буфером: (Ш x Г x В): 115 x 51 x 123 см (5.3 x 20 x 48.4 дюймов) Вес: 180 кгТребования к конфигурации
- NX
- Идентификатор ID Tablet
- CR HD5.0 Детекторы и кассеты
- CR MD4.0R Пластины и кассеты
Электропитание
220 – 240В/50-60 Гц Ждущий режим 87 Вт, пик 590 Вт, предохранитель 16AУсловия эксплуатации дигитайзера DX-G
Температура: 15-30°C (59-86°F) Влажность: отн. влажность 15 - 75% EMC соответствует IEC 60601-1-2 Скорость изменения температуры: 0.5°C/минута (0,9°F)воздействие на окружающую среду
Уровень шума: макс. 65 дБ (A) Тепловое рассеяние: ждущий режим – 92 Вт, пиковая нагрузка – 242 ВтБезопасность
Сертификаты: ETL классифицированный CUS, CEУсловия транспортировки
Температура: от -25 до + 55°C (от -4 до 131°F), -25°C не более 72 часов, + 55°C не более 96 часов Влажность: отн. влажность 5 - 95%
Возможен как безналичный расчёт, так и оплата наличными в офисе. Наши менеджеры оформят все необходимые документы.
Вы можете выбрать удобный для вас способ оплаты медицинской техники и оборудования в зависимости от формы организации вашего учреждения – коммерческой, государственной, либо произвести оплату в качестве физического лица:
Для государственных лечебных учреждений:
Реализация медицинского оборудования производится в полном соответствии с действующими Федеральными законами: 44-Ф3, 223-Ф3. Наша компания аккредитована на всех известных электронных торговых площадках РФ. Также мы зарегистрированы на официальном государственном портале поставщиков, что позволяет нам размещать оферты на любое интересное для вас оборудование.
Для коммерческих организаций:
Оплата производится посредством безналичного расчёта на основании договора и счёта. Условия договора согласуются в индивидуальном порядке.
Для физических лиц:
Мы выставляем счёт и договор, заказ оплачивается через любой банк, клиентом которого вы являетесь. (Перечисление не подразумевает открытие счёта, в банке понадобится только выставленный нашей компанией счёт и паспорт плательщика). Также возможна онлайн-оплата через сервис приёма онлайн-платежей Robokassa.
ЗАО «ТЕХНО-МЕД» осуществляет оперативную доставку медицинского оборудования по всей России, Беларуси и Казахстану.
По России — любой транспортной компанией, по согласованию с Вами (Деловые линии, DHL Express, СДЭК и т.д.).
По Санкт-Петербургу — собственной курьерской службой. В нашей компании есть парк автомобилей, позволяющий самостоятельно и в короткие сроки доставлять продукцию по Санкт-Петербургу и Ленинградской области.
Самовывоз с нашего склада по адресу г.Санкт-Петербург, Большой Сампсониевский пр-кт., д. 60 лит. Н.
ТЕХНИЧЕСКОЕ ГАРАНТИЙНОЕ ОБСЛУЖИВАНИЕ
Мы гарантируем высокое качество сервиса собственными силами. Предоставляем техническое обслуживание, гарантийный и постгарантийный ремонт. Мы сделаем все возможное, чтобы ваш рентген аппарат работал бесперебойно на протяжении всего его срока службы.

